Whitehouse Family Dental
Kristen Shumate, DDS, Richard Shumate, DDS, Hannah Keller, DDS
Home
About
Our Team
Dr. Kristen Shumate
Dr. Richard Shumate
Dr Michael Fourman
Technology
Practice Photos
Services
View All
Family Dentistry
Cosmetic Dentistry
Dentures and Partials
Dental Implants
Cleanings and Exams
Sleep Apnea and Airway Dentistry
Same-Day Crowns and Bridges
Composite Fillings
SureSmile® Clear Aligners
Root Canal Treatment
Sedation Dentistry
Smile Gallery
Patient Info
View Patient Info
Testimonials
Forms
Financial
FAQs
Contact
Whitehouse Family Dental
Kristen Shumate, DDS, Richard Shumate, DDS, Hannah Keller, DDS
Request an Appointment
Like us on Facebook
Leave a Google Review
Instagram
(419) 877-5404
Whitehouse Family Dental
5850 Weckerly Rd
Whitehouse, OH 43571
Pay Online
Whitehouse Family Dental
>
Smile Gallery
>
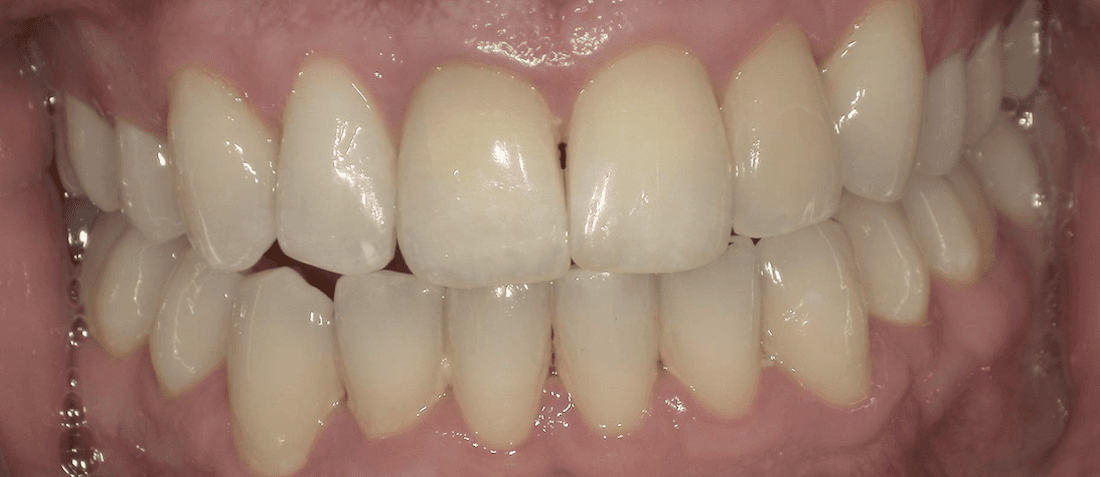
In-House Whitening
In-House Whitening
Return to Smile Gallery
Previous
Next
Related Services:
Cosmetic Dentistry
Click image to see a larger picture
Before
After
Not finding what you need?
Contact Us
If you have difficulty using our website, please
email us
or call us at
(419) 877-5404
View the
ADA Accessibility Statement
Turn on ADA Views
Email: Office@wfdohio.com
Privacy Policy
OK!
×
×
Contact Us Today
Give Us A Call
Whitehouse Family Dental -
(419) 877-5404
Send Us an Email
Request an Appointment
Contact Us
Ready to Schedule an Appointment?
Book Online
Have Questions? Contact Us:
Required Field
Your Name:
Phone:
Email:
Are you a new patient?:
Are you a?
New Patient
Current Patient
How would you like us to contact you?
Please choose
Email
Call
How did you hear about us?
Please choose
I'm an existing patient
Google/Bing
Mailer
Word of mouth
Social media
Other
Who Referred You?:
Appointment Preferences
Monday
Tuesday
Wednesday
Thursday
Friday
Your Message:
This site is protected by reCAPTCHA and the Google
Privacy Policy
and
Terms of Service
apply.
Sending...
×
This Patient's Experience
Loading Testimonial...
Loading Case...